تازهترین حقایقی درباره مغز انسان، یافتههای شگفتانگیزی را فاش کرده که درک ما از روند پیری این عضو حیاتی را متحول خواهد کرد. این کشفیات جدید شما را شگفتزده میکند.
مطالعات جدید نشان میدهند که مغز انسان در طول زندگی خود پنج مرحله یا دوره متمایز را پشت سر میگذارد. هر یک از این مراحل دارای ویژگیهای ساختاری منحصربهفردی هستند که نحوه عملکرد و تغییر آن را شکل میدهند. این پژوهش مهم، چهار نقطه عطف کلیدی را در روند پیر شدن مغز شناسایی کرده است که درک ما را از سلامت مغز دگرگون میکند.
کشف دورههای جدید در معماری مغز
پژوهشگران برای اولین بار چهار نقطه عطف متمایز در سنین ۹، ۳۲، ۶۶ و ۸۳ سالگی را شناسایی کردهاند. این یافتهها که در مجله نیچر کامیونیکیشنز منتشر شده، نشان میدهد که مغز در هر دوره بین این نقاط، ویژگیهای معماری متفاوتی از خود نشان میدهد.
- پایان حریم خصوصی؛ هوش مصنوعی حالا فکرتان را قبل از خودتان میخواند
- دانشمندان سلولهای مغزی را کشف کردند که میتوانند آلزایمر را متوقف کنند
برخلاف تصور رایج، عملکرد شناختی انسان صرفاً با افزایش سن به اوج نمیرسد و سپس کاهش یابد. دکتر آلکسا موسلی، محقق ارشد این مطالعه از دانشگاه کمبریج، این روند را غیرخطی توصیف کرد.
حقایقی درباره مغز: پنج دوره متمایز و نقاط عطف
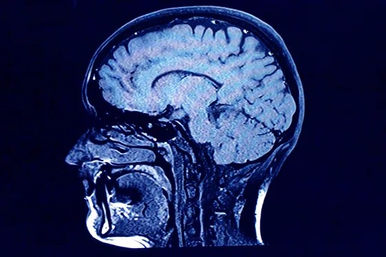
این مطالعه بر اساس اسکنهای MRI انتشار آب در مغز حدود ۳۸۰۰ نفر انجام شد. بر اساس این حقایقی درباره مغز، پنج دوره اصلی با ویژگیهای زیر تعریف میشوند:
- از تولد تا سن ۹ سالگی: مغز به سرعت در حال رشد ماده خاکستری و سفید و سازماندهی مجدد است.
- ۹ تا ۳۲ سالگی: دوره سیمکشی مجدد گسترده با ارتباط سریع و کارآمد بین مناطق مختلف مغز؛ اغلب اختلالات و سلامت روانی در این زمان تشخیص داده میشوند.
- ۳۲ تا ۶۶ سالگی: مغز به پایداری میرسد و سیمکشی مجدد آن کندتر میشود.
- ۶۶ تا ۸۳ سالگی: مغز به سمت «مدولار شدن» پیش میرود؛ شبکههای عصبی به زیرشبکههای جداگانه تقسیم میشوند.
- ۸۳ سالگی به بعد: ارتباطات مغزی بیشتر کاهش مییابند و مغز بیشتر به مناطق فردی متکی میشود.
کاربردها و نگاه منتقدان به پژوهش جدید
این یافتهها میتواند به درک بهتر دلایل بروز اختلالات روانی و بیماریهای عصبی در مراحل خاصی از زندگی کمک کند. دکتر ریک بتزل، استادیار علوم اعصاب از دانشگاه مینهسوتا، یافتهها را جذاب دانست اما بر لزوم دادههای بیشتر برای تأیید نتایج تأکید کرد.
او به چالشهای ترکیب دادههای مختلف از مطالعات پیشین اشاره کرد که میتواند منجر به سوگیری شود، اما نویسندگان را دانشمندانی با دقت بالا دانست.
گجت نیوز آخرین اخبار تکنولوژی، علم و خودرو 




